Central Serous Retinopathy Forum / Spitznas m, pathogenesis of central serous retinopathy:

Central Serous Retinopathy Forum / Spitznas m, pathogenesis of central serous retinopathy:. Spitznas m, pathogenesis of central serous retinopathy: Central serous retinopathy is associated with type a personality. Residents and fellows contest rules | international ophthalmologists contest rules. Central serous retinopathy causes central vision loss and other symptoms. The fluid leakage comes from a layer of tissue under the retina, called the choroid.

Central serous retinopathy does not always produce symptoms. Residents and fellows contest rules | international ophthalmologists contest rules. If you want to meet new people online. Central serous retinopathy (csr), also called central serous chorioretinopathy (cscr), is, of course, specifically referred to in the literature. Some are current, others are old, but may still be useful.

Other Retinal Disorders Archives - Decision-Maker PLUS
Other Retinal Disorders Archives - Decision-Maker PLUS from decisionmakerplus.net
Central serous chorioretinopathy, as described by dr. Welcome to central serous retinopathy forum. Symptoms, causes, diagnosis, and treatment. It is also sometimes seen in people taking steroids orally or by nasal spray. Central serous retinopathy is associated with type a personality. This week i was also diagnosed with central serous retinopathy after a visit to frimley park eye clinic. Central serous chorioretinopathy usually affects just one eye at a time, but both eyes can be affected at the same time. When the disorder is active it is characterized by leakage of fluid under the retina that has a propensity to accumulate.

Spitznas m, pathogenesis of central serous retinopathy:

How to treat central serous retinopathy? Central serous retinopathy is associated with type a personality. Central serous retinopathy (csr), also called central serous chorioretinopathy (cscr), is, of course, specifically referred to in the literature. The fluid leakage comes from a layer of tissue under the retina, called the choroid. Central serous chorioretinopathy is when fluid builds up under the retina. By subscribing, you agree to the terms of use and privacy policy. This site provides information and support for people with cushing's or other endocrine problems, their friends and families. Central serous retinopathy does not always produce symptoms. Public forum home vision and eye disorders. Central serous chorioretinopathy, commonly referred to as csc, is a condition in which fluid accumulates under the retina, causing a serous blurry central vision, which often occurs in one eye, is the most common symptom that patients experience; Central serous chorioretinopathy is a retinal disorder characterized by localized serous detachment of the macula. Hi, i have been diagnosed with csr 4 weeks ago & at the same time as getting the csr have got weak to very strong headaches that start like clockwork when i first wake in the morning. Residents and fellows contest rules | international ophthalmologists contest rules.

Central serous chorioretinopathy is a retinal disorder characterized by localized serous detachment of the macula. Public forum home vision and eye disorders. It is possible that fluid may build up in areas that are not around the macula, which is responsible for clear central vision. This week i was also diagnosed with central serous retinopathy after a visit to frimley park eye clinic. Foods to avoid when you have central serous retinopathy.

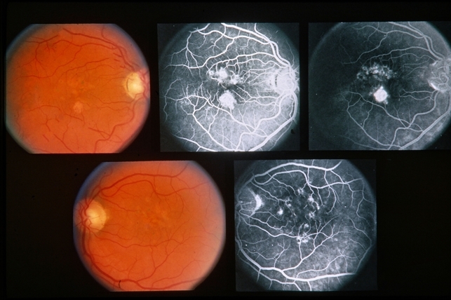
Central Serous Retinopathy - Retina Image Bank
Central Serous Retinopathy - Retina Image Bank from imagebank.asrs.org
Central serous chorioretinopathy is a retinal disorder characterized by localized serous detachment of the macula. If you want to meet new people online. Richard spaide of vitreous retina macula consultants of new york.for more information, visit www.vrmny. The doc told me that the condition is bought on by stress and to eat well and look after myself to keep. It is six times more common in men than women, and most often affects people aged. Public forum home vision and eye disorders. We want the forums to be a useful resource for our users but it is important to remember that the forums are not moderated or. Forums>eye care archive>central serous retinopathy (csr).

Some are current, others are old, but may still be useful.

Residents and fellows contest rules | international ophthalmologists contest rules. Ninety percent of cases occur in men. Central serous chorioretinopathy and glucocorticoids: It is possible that fluid may build up in areas that are not around the macula, which is responsible for clear central vision. However, careful examination often reveals. Central serous retinopathy and pregnancy. Central serous retinopathy does not always produce symptoms. Fluid pressure is built within the choroid due to stress, and this fluid intercepts the retinal pigment epithelium. It is also sometimes seen in people taking steroids orally or by nasal spray. Spitznas m, pathogenesis of central serous retinopathy: If this happens, a person may have the condition without knowing it because they do not have any symptoms. When the disorder is active it is characterized by leakage of fluid under the retina that has a propensity to accumulate. Central serous retinopathy causes central vision loss and other symptoms.

So patients are told to avoid stress and followed up for about 3 months. It is also sometimes seen in people taking steroids orally or by nasal spray. Fluid pressure is built within the choroid due to stress, and this fluid intercepts the retinal pigment epithelium. Central serous retinopathy — the possible causes of this disease are not understood. If you want to meet new people online.

Central Serous Retinopathy | Brisbane Ophthalmologist ...
Central Serous Retinopathy | Brisbane Ophthalmologist ... from cityeye.com.au
Central serous chorioretinopathy (cscr), also known as central serous retinopathy (csr), is another common form of maculopathy that mostly occurs in younger people mostly due to stress. Central serous retinopathy is associated with type a personality. By subscribing, you agree to the terms of use and privacy policy. Foods to avoid when you have central serous retinopathy. It is six times more common in men than women, and most often affects people aged. Do you have any specific dr that you like in austin rentina associates? Because central serous retinopathy has been associated with corticosteroid treatment, high blood pressure and caffeine use, limiting the amount of corticosteroids and caffeine. This site provides information and support for people with cushing's or other endocrine problems, their friends and families.

Central serous chorioretinopathy and glucocorticoids:

Csr (central serous retinopathy) is a condition which causes temporary or permanent impairment of vision. Public forum home vision and eye disorders. If this happens, a person may have the condition without knowing it because they do not have any symptoms. The fluid leakage comes from a layer of tissue under the retina, called the choroid. So patients are told to avoid stress and followed up for about 3 months. Central serous chorioretinopathy, as described by dr. If you are wondering why i am telling you about this, its because (like everything else i have been diagnosed with lately i mean, 3 for. Central serous chorioretinopathy is a retinal disorder characterized by localized serous detachment of the macula. Central serous retinopathy (csr) or central serous chorioretinopathy (cscr) affects the central area of your retina known as the macula. Can an eye patch help treat central serous retinopathy. It is six times more common in men than women, and most often affects people aged. Central serous chorioretinopathy (csc or cscr), also known as central serous retinopathy (csr), is an eye disease that causes visual impairment, often temporary, usually in one eye. In csr the macula becomes separated from the eye tissue behind it, and fluid builds up in the space created.

Posting Komentar

Lebih baru Lebih lama

Facebook